|
# # # # At the end of each month the SoPD writes a post which provides an overview of some of the major pieces of Parkinson’s-related research that were made available during November 2023. The post is divided into 10 parts based on the type of research:
# # # # |
So, what happened during November 2023?
In world news:
November 1st – The Beatles (I kid you not) released “Now and Then“, the band’s last ever song, featuring restored vocals by John Lennon (1940–1980), as well as guitar tracks by George Harrison (1943–2001).
November 2nd – Zoliflodacin, a first-in-class antibiotic being developed for treating drug-resistant ‘super-gonorrhoea’ presented positive results in Phase 3 clinical testing. The development of this agent has been led by the non-profit organization GARDP, and if approved, zoliflodacin will be the first new antibiotic for treating gonorrhoea in decades (Click here to read more about this).
November 12th – Researchers at Cambridge University present a new floating artificial leaf which can turn sunlight, water and carbon dioxide into synthetic fuel (Click here to read more about this).
November 16th – Casgevy, a world-first gene therapy that aims to cure sickle-cell disease and transfusion-dependent beta thalassemia, is approved by the UK’s Medicines and Healthcare products Regulatory Agency, becoming the first drug using CRISPR to be licensed (Click here to read more about this).
November 28th – the passing of Charlie Munger was a sad moment for the author of this blog. A copy of “Poor Charlie’s Almanack” sits beside my bed. If you have never heard of Charlie, take a moment & listen to his “Psychology of Human Misjudgment” – wisdom, humor and not a word wasted:
(You should also listen to him roasting people for 5 minutes straight)
November 30th – Researchers reported that breeding chinstrap penguins nod off more than 10,000 times per day, engaging in tiny bouts of slow-wave sleep (lasting on average only 4 seconds, but resulting in the accumulation of >11 hours of sleep)
In the world of Parkinson’s research, a great deal of new research and news was reported:
In November 2023, there were 1,271 research articles added to the Pubmed website with the tag word “Parkinson’s” attached (10,282 for all of 2023 so far). In addition, there was a wave to news reports regarding various other bits of Parkinson’s research activity (clinical trials, etc).
The top 5 pieces of Parkinson’s news
1. A novel target for neuroprotection in Parkinson’s:
Researchers Mission Therapeutics and Harvard University publish the results of a study investigating ubiquitin-specific protease 30 (USP30). They found that mice with no USP30 appeared to be normal and that inhibition of USP30 in an alpha-synuclein mouse model of Parkinson’s protected the mice from neurodegeneration (Click here to read more about this and click here to read an SoPD post on this research).
2. Alpha synuclein is sooo 20th century:
New paper from Professor Jeffrey Kordower & colleagues “suggests that the initiation of nigrostriatal dopaminergic neurodegeneration occurs independently of alpha-synuclein aggregation & can be tau mediated”. The researchers conducted postmortem analyses of the brains of people who died with and without Parkinson’s as well as some individuals who displayed early clinical sign of motor impairments. They found that tau rather than alpha synuclein was a good determinant of Parkinson’s (Click here to read more about this).
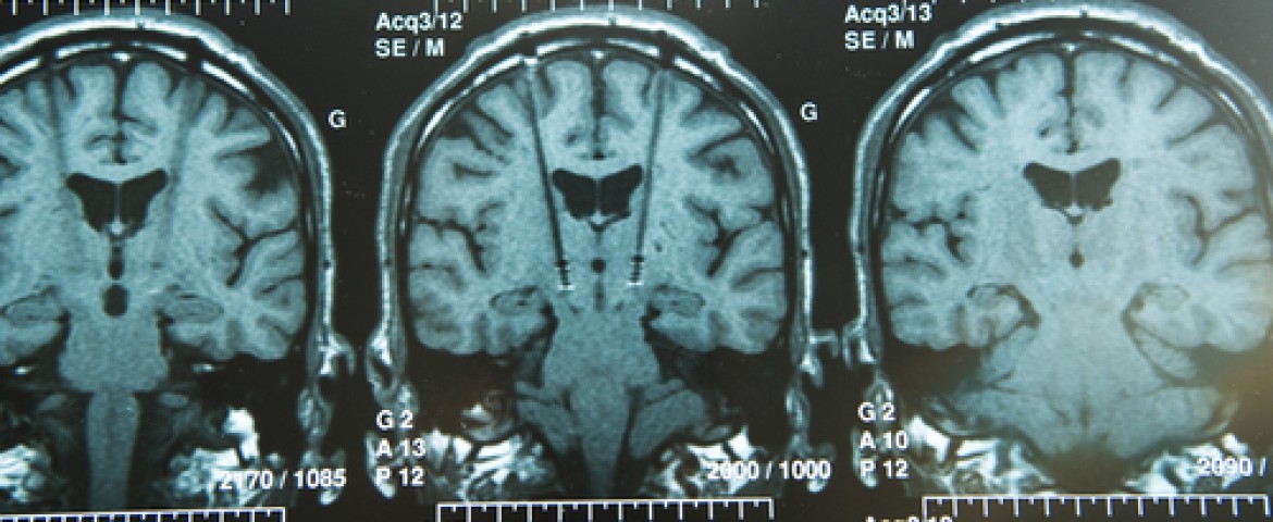
3. Where neuroprosthestics and Parkinson’s currently meets:
Researchers report preclinical work & implantation of a neuroprosthesis in a 62-year-old male with a 30-year history of Parkinson’s. Epidural electrical stimulation of the spinal cord alleviated freezing-of-gait & other postural issues (Click here to read more about this, click here, here and here to read press summaries about this research, and click here to read an SoPD post on this research).
4. The results of the NR-SAFE study have been published:
The NR-SAFE study was a randomized, double-blind safety trial of high dose nicotinamide riboside in Parkinson’s. Participants were treated with either 1500 mg NR twice daily (n = 10) or placebo (n = 10) for four weeks. The result indicate that the high dose ‘Nico Ribo’ treatment was safe and it augmented the blood NAD metabolome – up to 5-fold increase in blood NAD+ levels. Slight initial rise in serum homocysteine levels observed, but the integrity of the methyl donor pool remained intact. Despite the positive results, the researchers were quick to point out that “long-term safety of this dose [3000mg] has not yet been established” (Click here to read more about this).
5. STAPull – single-molecule 2-color aggregate pulldown:
A new paper presents single-molecule 2-color aggregate pulldown (STAPull) which is a new assay that can be used to assess fluid samples for aggregated proteins. The method can eliminate monomeric proteins & specifically quantify aggregated proteins (using orthogonally labeled detection antibodies). Using the aggregation-prone, Parkinson’s-associated protein alpha-synuclein as a model, they demonstrated that this new technique can specifically detect aggregates with a very low limit of detection (5 picomolar). In addition, they assessed human cerebrospinal, highlighting its potential future utility (Click here to read more about this and click here to read a press summary).
6. The brave new world of graphene:
Researchers presented a portable, wireless readout-based Graphene field-effect transistor (GFET) biosensor platform that can detect viruses, proteins, & small molecules with single-molecule sensitivity & specificity. The scientists demonstrate the use case for the technology by exploring Alzheimer’s and Parkinson’s-associated proteins (Click here to read more about this and click here to read the press summary of the research).
Articles of general interest
- Really enjoying the new Parkinson’s research podcast from the Michael J Fox Foundation; First episode explores the PD research landscape & the role of MJFF with Brian Fiske & Mark Fraiser (Click here to read more about this).
- The No Silver Bullet 4PD’s presentation this month was on “Light Therapy for Parkinson’s“:
- The benefit of taking naps and using non-sleep deep rest to improve the quality-of-life in Parkinson’s (Click here to read more about this).
|
# # # # # # Cure Parkinson’s held its Autumn Research Review meeting this month. The first presenter was Prof Oliver Bandmann who presented background & results of the “UP study” (UDCA in Parkinson’s):
# # # # # # # |
Basic biology news
- New research presents an epigenome-wide association study of early Parkinson’s, providing evidence for methylation changes across different peripheral immune cell types, highlighting monocytes & the RAB32 locus (Click here to read more about this).
- Useful new tool for Parkinson’s research: A deep learning-based image analysis platform (DLAP) identifies a DAT-negative subpopulation of dopaminergic neurons in the lateral Substantia nigra (Click here to read more about this).
- Photo-oxygenation (which selectively adds oxygen atoms to fibrils) of histidine residue inhibits aggregation of Parkinson’s-associated α-synuclein (Click here to read more about this).
- Mitochondria aconitase 2 (ACO2) is an essential enzyme in the tricarboxylic acid cycle supporting mitochondrial & autophagic function; Researchers report peripheral ACO2 activity was significantly reduced in Parkinson’s patients; Reduced ACO2 leaves cells vulnerable (Click here to read more about this).
- New research reports that anionic nanoplastic contaminants potently precipitate the formation & propagation of Parkinson’s-associated α-synuclein protein fibrils, through a high-affinity interaction NAC domains in α-synuclein (Click here to read more about this and click here to read the press summary).
- Overexpression of STAT3 in substantia nigra dopaminergic neurons of a rodent model of Parkinson’s resulted in neuroprotection & improved behavioral outcomes, via upregulating prosurvival genes & reducing mitochondrial ROS (Click here to read more about this).
- New paper presents aSynPEP-DB: a database of biogenic peptides for inhibiting Parkinson’s-associated α-synuclein aggregation; Over 100 unique biogenic peptide candidates ensembled into a comprehensive database (Click here to read more about this).
- Non-invasive systemic viral delivery of human alpha-synuclein mimics selective & progressive neuropathology of Parkinson’s in the rodent brain (Click here to read more about this).
- New research supports a mechanism by which exposure of enteroendocrine cells to specific bacterial factors found in Parkinson’s gut dysbiosis might facilitate accumulation of α-synuclein pathology in the gut (Click here to read more about this).
- Pathologic α-synuclein disrupts TSC1-TSC2 complex (a negative regulator of mTORC1) leads to increase protein translation & concomitant neurodegeneration in models of Parkinson’s (flies & mice data); Overexpression of TSC2 rescue; Human PD nigra = reducedTSC1-TSC2 levels (Click here to read more about this).
- New day, new deubiquitinase inactivation research in Parkinson’s. Researchers report USP19 deubiquitinase inactivation regulates α-synuclein ubiquitination & inhibits accumulation of Lewy body-like aggregates in mice (Click here to read more about this).
- New research combines systems biology & data integration approaches to identify differences in transcriptomic & metabolic signatures in Parkinson’s; Mitochondrial metabolism impairment & a reduced total NAD pool (Click here to read more about this).
- Generation of locus coeruleus norepinephrine neurons from human pluripotent stem cells; “…often one of the earliest cell types that undergo degeneration in Alzheimer’s & Parkinson’s. However, little is known about their role in the pathogenesis…” (Click here to read more about this).
- New research finds α-Synuclein trafficking from the brain to the ileum of male mice in a brain-first mouse model of Parkinson’s; ileal α-Synuclein aggregations are contained in CD11c+ cells that are microglia-like (Click here to read more about this).
- Researchers propose a new ex-vivo organotypic model of Parkinson’s using rodent olfactory bulb treated with 3,4-dihydroxyphenylacetaldehyde (DOPAL) to recapitulate many aspects of the disease; Credence for the catecholaldehyde hypothesis? (Click here to read more about this).
- Certain Bifidobacterium species in the gut have been reported to metabolise L-tyrosine, an L-DOPA analog. Now researchers report Bifidobacterium abundance in Parkinson’s patients is positively correlated with L-DOPA dose & negatively associated with serum tyrosine (Click here to read more about this).
- Nasal infection with Saccharomyces cerevisiae (S. cerevisiae) in α-syn A53T transgenic mice accelerates the aggregation of Parkinson’s-associated alpha synuclein (Click here to read more about this).
- Neural precursor cells & dopamine neurons derived from induced iPSCs from Parkinson’s patients exhibit a hypometabolism, with the α-ketoglutarate dehydrogenase complex causing a bottleneck; These alterations were corrected via sonic hedgehog (SHH) inhibition. “To interfere with both processes [complex I deficiency & hypometabolism] by firstly inhibiting the overactive SHH signaling & secondly by rescuing complex I deficiency might be a combinatorial neuroprotective therapy beneficial during early stages of sporadic Parkinson’s” (Click here to read more about this).
- A primate nigrostriatal atlas of neuronal vulnerability & resilience in a model of Parkinson’s highlights a FOXP2-centered regulatory pathway shared between PD-resistant dopaminergic & glutamatergic excitatory neurons between humans & nonhuman primates (Click here to read more about this).
- New study finds that progranulin is a critical regulator of lysosomal pH & degradative capacity, which influences global proteostasis in neurons; Multifaceted proteomic techniques employed on progranulin-deficient cells to study neuronal lysosome biology (Click here to read more about this).
- New paper suggests L-type voltage-gated Ca2+ channels are dynamically, locally, & sexually divergent…ly regulated on dopamine neuron axons; Isradipine for Parkinson’s? (Click here to read more about this).
- New research use the GCase substrate probe PFB-FDGlu in combination with live cell imaging to measure Parkinson’s-associate glucocerebrosidase activity in situ in the lysosome (Click here to read more about this).
Disease mechanism
- New research reports that increased palmitoylation improves estrogen receptor alpha–dependent hippocampal synaptic deficits in a mouse model of synucleinopathy; ML348 (de-palmitoylation inhibitor) increase ERα & soluble αsyn homeostasis (Click here to read more about this).
- And my wife tells me sugar is bad! Chronic high-sugar diet in adulthood PROTECTS a C. elegans model of Parkinson’s from 6-OHDA-induced dopaminergic neurodegeneration (Ok, it did lead to shorter lifespan & reduced reproduction in normal worms, but still… – click here to read more about this).
- Viral vector based gene delivery is getting more & more interesting: Researchers report on the development of AAV8R12 which transduces striatal D1-, but not D2-, medium spiny neurons after nigral delivery; Rescues primate model of Parkinson’s & dyskinesia (Click here to read more about this).
- Researchers present the development of novel neuronal-type specific (driven by TH & ChAT promoters) SNCA-targeted epigenome therapies for synucleinopathies (like Parkinson’s); In vitro proof-of-concept evidence presented (Click here to read more about this).
- Characterization of the molecular tweezer known as CLR01, exploring its binding on Parkinson’s-associated α-syn with native Top-Down Mass Spec & Ion Mobility-Mass Spec reveals a mechanism for aggregation inhibition, involving the N-terminal region of alpha synuclein (Click here to read more about this).
- New data from Merck researchers explores the effects of LRRK2 inhibitors in nonhuman primates; Non-reversible effects in the lungs months after 30-day administration (Click here to read more about this).
Clinical research
- A nationwide (Germany) retrospective (since 2005) case collection analysis of combinations of advanced therapies assessing simultaneous or sequential advanced therapy combinations finds changing or combining ATs may be beneficial when one is insufficient (Click here to read more about this).
- Researchers employ a mixed methods approach to demonstrate that regular nonselective beta-adrenoceptor blocker (NBB) use is associated with an increased risk of Parkinson’s; “People should choose alternative antihypertensive treatments” (Click here to read more about this).
- Researchers provide evidence of a dissociation between anterior “motor” lobe and posterior “non-motor” lobe cerebellar regions in Parkinson’s. Less severe stages of disease = larger motor lobe regions & more severe stages = smaller non-motor regions (Click here to read more about this).
- Charting disease trajectories from isolated REM sleep behavior disorder to Parkinson’s; Researchers present data from 919 PD patients & 88 iRBD case (3 independent longitudinal cohorts); 1st changes in contralateral putamen=13 years pre diagnosis (Click here to read more about this).
- Research report reduced gastric contraction in REM sleep behavior disorder & de novo Parkinson’s; The amplitude of the peristaltic waves is markedly reduced in RBD & early PD (Click here to read more about this).
- Life space is a measure of the frequency, range, & independence of daily movement. In a new study of 1684 men followed up 7 years+, change in life space was associated with faster cognitive decline & increased likelihood of dementia, but not Parkinson’s (Click here to read more about this).
- New research provides a map of dysregulated peripheral immunity in early-to-mid stage idiopathic Parkinson’s (N=25 vs 24 controls). Researchers found reduced CD8 Treg cells but not CD4 Treg cells. Enhanced cytotoxicity & differentiation in CD8 T-cells in females (Click here to read more about this).
- New case report investigates the metaphors related to the loss of autonomy & stigma in stories & drawings of Parkinson’s (Click here to read more about this).
- Misfolded α-synuclein seeding is detected in suspected LRRK2-Parkinson’s case without immunohistochemically detectable α-Synuclein pathology (Click here to read more about this).
- New meta-analysis of association between newer glucose-lowering drugs (dipeptidyl peptidase-4 inhibitors, glucagon-like peptide-1 receptor agonists, & sodium-glucose co-transporter-2 inhibitors) & risk of Parkinson’s reports decreased risk of PD (Click here to read more about this).
- Functional freezing of gait: Researchers highlight a specific & hitherto poorly characterised phenotype of functional gait impairments (Click here to read more about this).
- “Compared to Parkinson’s noncarriers, GBA-PD display more severe instrumental autonomic abnormalities, which may be underestimated by purely clinical measures, despite their relevance on morbidity & mortality” (Click here to read more about this).
- A programme evaluation of ‘First Steps’: A peer-conceived, developed & led self-management intervention for people after a Parkinson’s diagnosis (Click here to read more about this).
- New paper describes the full landscape of GBA1-related parkinsonism in Luxembourg, showing a high prevalence (12.1% (77/637); 2.6-fold more than controls) of GBA1 variants as the major genetic risk for Parkinson’s (Click here to read more about this).
- New research presents a machine learning method to process voice samples for identification of Parkinson’s; They demonstrate the “superiority of our deep learning model for the task of classifying people with PD” (Click here to read more about this).
- Could mitochondrial activity in fibroblasts derived from idiopathic REM sleep behavior disorder cases be used as a biomarker of Parkinson’s? New research from a small study provides supportive data (when cells were challenged with a higher energy demand – click here to read more about this).
- In the mitochondrial inner membrane, respiratory enzymes associate to form supramolecular assemblies or supercomplexes (SC); Researchers report that the disruption of the SC formation in leukocytes correlated with the progression of Parkinson’s & DLB (Click here to read more about this).
- Researchers conducted a retrospective study using the FDA Adverse Event Reporting System database to compare safety profiles among monoamine oxidase inhibitors (selegiline, rasagiline, & safinamide) used against Parkinson’s (Click here to read more about this).
- New research presents cross-sectional MRI data suggesting that active elite rugby participation (N=44 vs 47 controls) is associated with localized alterations in cortical thickness, specifically in sulcal motor regions (Click here to read more about this).
- New research shares phenotypic effect of GBA1 variants in individuals with & without Parkinson’s; N=379 (89 GBA1-neg. controls, 169 GBA1-neg. PD, 47 GBA1-pos. PD, 47 non-affected GBA1 carriers, 27 Gauchers – click here to read more about this).
- Interesting commentary on the considerations of deep brain stimulation for individuals with GBA-associated Parkinson’s (Click here to read more about this).
New clinical trials
- New clinical trial registered: Researchers at Tanta University (Egypt) have initiated a 3-month Phase 2 clinical study to evaluate the possible efficacy and safety of Montleukast in 60 individuals with Parkinson’s (Click here to read more about this).
Clinical trial news
- The protocol for a double-blind controlled proof-of-concept trial of Levetiracetam for the treatment of mild cognitive impairment in Parkinson’s has been published (Click here to read more about this).
- AskBio announces that the first participant has been randomized in their Phase 1 clinical trial of AB-1005 (AAV2-GDNF) – gene therapy for Multiple System Atrophy-Parkinsonian Type (MSA-P – click here to read more about this).
- The protocol of the AMBITIOUS study has been published – this is a multicentre, randomised, double-blind, placebo-controlled, Phase II clinical trial investigating 1 years treatment of ambroxol as a disease-modifying treatment in GBA-associated Parkinson’s (Click here to read more about this).
- The results of a 12 week randomized controlled trial of KW-6356 (a now cancelled novel adenosine A2A receptor antagonist/inverse agonist; 2nd gen. Istradefylline) monotherapy in patients with early untreated Parkinson’s (n=168); Well tolerated & effective (Click here to read more about this).
- The results of a 12 week single-blind, randomised, controlled study in New Delhi exploring the efficacy of exercises in early-stage Parkinson’s (the PARK-EASE trial) indicate structured exercises improve motor symptoms & quality of life (Click here to read more about this).
Conferences/lectures
- There will be a three-day meeting (8 – 11th April 2025) that will be focused on the Parkinson’s-associated alpha synuclein. If you are interested have a look at the Synuclein 2025 meeting (Click here to learn more about this).
Other news
- Syntara doses first patient in Phase 2 trial of PXS-4728 (a novel SSAO/VAP-1 inhibitor) in patients with Rapid Eye Movement Sleep Behaviour Disorder (iRBD) who are at risk of Parkinson’s; This is a Phase 2 study supported by Parkinson’s UK’s Virtual Biotech (Click here to read more about this).
- Swedish authorities approve a Phase 2 clinical trial of montelukast oral film in people with Parkinson’s; The MONTPARK multicenter study will investigate the effectiveness of oral high-dose Montelukast on the progression of 90 people with early to moderate Parkinson’s (Click here to read more about this).
Review articles/videos
- A new perspective piece on the mitochondrial social network & its implication in health & disease, with a great title: Keep in touch! (Click here to read more about this).
- New paper presents a systematic multi-stakeholder Delphi study seeking consensus on the design of Parkinson’s trials that test protective treatments aiming to slow/halt or reverse the progression in a phase-3 setting (Click here to read more about this).
- A short review on the current cell transplantation trials for Parkinson’s, including the first-in-human study of autologous induced neural stem cell-derived dopaminergic precursors (Click here to read more about this).
- Understanding & exploiting the roles of O-GlcNAc in neurodegenerative diseases; Parkinson’s gets a lot of mentions (Click here to read more about this).
- A really useful review on the mechanism & therapeutic potential of targeting cGAS-STING signaling in neurological disorders (including Parkinson’s – click here to read more about this).
- New review explores peptide-based approaches to directly target alpha-synuclein in Parkinson’s; “Peptide-based strategies have also shown promise as potential diagnostic tools” (Click here to read more about this).
- Researchers provide a useful review of mitochondrial dysfunction in Parkinson’s (Click here to read more about this).
- Great viewpoint on central & peripheral innate & adaptive immunity in Parkinson’s (Click here to read more about this).
- Interesting short read on the rise of wearables & smartphones in decentralising healthcare (with a special mention of applications in Parkinson’s – click here to read more about this).
* * * * * * * * * * * *
And there it is, just some of the highlights from November 2023 – another very busy month of Parkinson’s research. Hopefully there will be bits and pieces of interest for everyone in the list. Much of the material used here was collected from the Science of Parkinson’s Twitter feed (and there is a lot more posted there each day).
Any thoughts/feedback would be greatly appreciated (either in the comments below, or contact me directly).
And now: on to December!!!
All of the material on this website is licensed under a
Creative Commons Attribution 4.0 International License
You can do whatever you like with it!
EDITOR’S NOTE: The author of this post is an employee of Cure Parkinson’s, so he might be a little bit biased in his views on research and clinical trials supported by the trust. That said, the trust has not requested the production of this post, and the author is sharing it simply because it may be of interest to the Parkinson’s community.
The information provided by the SoPD website is for information and educational purposes only. Under no circumstances should it ever be considered medical or actionable advice. It is provided by research scientists, not medical practitioners. Any actions taken – based on what has been read on the website – are the sole responsibility of the reader. Any actions being contemplated by readers should firstly be discussed with a qualified healthcare professional who is aware of your medical history. While some of the information discussed in this post may cause concern, please speak with your medical physician before attempting any change in an existing treatment regime.
In addition, many of the companies mentioned in this post are publicly traded companies. That said, the material presented on this page should under no circumstances be considered financial advice. Any actions taken by the reader based on reading this material is the sole responsibility of the reader. None of the companies have requested that this material be produced, nor has the author had any contact with any of the companies or associated parties. This post has been produced for educational purposes only.





















