The luminance of a lighthouse

# # # #

LRRK2 inhibition represents one of several biological approaches to slowing the progression of Parkinson’s that is currently being clinically tested.

Leading the charge in the development of LRRK2 inhibitors is a biotech company called Denali Therapeutics (in partnership with Biogen).

Recently, the company provided news on the immediate future clinical development plans for their lead molecule BIIB122.

In today’s post, we will look at what is going to happen next for LRRK2 inhibition.

# # # #


Source: Denali

Founded in 2013 by a group of former Genentech executives, San Francisco-based Denali Therapeutics is a biotech company which is focused on developing novel therapies for people suffering from neurodegenerative diseases.

In particular, they have been leading the charge on a new class of drugs for Parkinson’s called LRRK2 inhibitors.

What are LRRK2 inhibitors?

Continue reading “The luminance of a lighthouse”

The PASADENA study announcement (part 2)

# # # #

In April of this year it was announced that the closely watched Phase II PASADENA clinical trial had not to met its primary objective. This was a large clinical evaluation of an immunotherapy approach (called prasinezumab) for disease modification in Parkinson’s. 

At the time of the announcement, it was indicated that the researchers who conducted the study had seen “signals of efficacy” in the data.

This week the results of the study were presented at an international conference and it was reported that prasinezumab “significantly reduced decline in motor function by 35% (pooled dose levels) vs. placebo after one year of treatment“.

In today’s post, we will discuss what the PASADENA study was, review the results that have been released, and discuss what might happen next.

# # # #


At 7am (just prior to the opening of the Swiss Stock Exchange) on Wednesday 22nd April 2020, the pharmaceutical company Roche published its sales results for the 1st Quarter. The financial report looked good, particularly considering the current COVID-19 economic climate, but there was one sentence on page 133 of the results (highlighted below) that grabbed a lot of attention:

From page 133. Source: Roche

For those of you (like myself) who struggle with fine print, the sentence reads:

Study did not meet its primary objective, but showed signals of efficacy

This was how the Parkinson’s community found out about the top line result of the closely followed Phase II PASADENA study evaluating the immunotherapy treatment prasinezumab in individuals recently diagnosed with Parkinson’s.

Many within the Parkinson’s community were basically:

Yet another negative clinical trial result.

But then, later that same day, the biotech firm Prothena – which developed prasinezumab and is partnered with Roche in the clinical testing – kindly provided a press release.

And in that document, the company repeated that prasinezumab “showed signals of efficacy, but importantly: “These signals were observed on multiple prespecified secondary and exploratory clinical endpoints“.

And then the Parkinson’s community was like:

This week we found out more about those “signals of efficacy” and the results of the PASADENA study, and they look interesting.

What do the results show?

Continue reading “The PASADENA study announcement (part 2)”

Billion dollar bets: Denali+Biogen

 

# # # #

This week the biotech firm Denali Therapeutics made two major announcements regarding the development of their LRRK2 inhibitor program for Parkinson’s.

First, the company revealed that they have signed an agreement with the pharmaceutical company Biogen to co-develop and co-commercialise small molecule inhibitors of LRRK2 for Parkinson’s.

Second, Denali also announced that they have a green light from the US FDA to start the next phase of clinical testing of their LRRK2 inhibitor DNL151.

In today’s post, we will discuss what is meant by LRRK2 inhibitor, what the details of the announcements are, and what all of this means for the Parkinson’s community.

# # # #


Denali. Source: Wikipedia

Peaking at 20,310 feet (or 6,190 m) above sea level, Denali (Koyukon for “the high one”; also known as Mount McKinley) is the highest mountain in North America. The first verified ascent of this Alaskan mountain occurred on June 7, 1913, when four climbers (Hudson Stuck, Harry Karstens, Walter Harper, and Robert Tatum) conquered it.

Tatum (left), Karstens (middle), and Harper (right). Source: Gutenberg

Robert Tatum later commented, “The view from the top of Mount McKinley is like looking out the windows of Heaven!

More recently another adventurous group associated with ‘Denali’ have been trying to scale lofty heights, but of a completely different sort to the mountaineering kind.

Founded in 2013 by a group of former Genentech executives, San Francisco-based Denali Therapeutics is a biotech company which is focused on developing novel therapies for people suffering from neurodegenerative diseases. Although they have product development programs for other condition (such as Amyotrophic Lateral Sclerosis and Alzheimer’s disease), Parkinson’s is definitely their primary indication of interest.

And this week, the company made two major announcements with regards to their Parkinson’s research program.

The first announcement was that Denali have signed an agreement with the pharmaceutical company Biogen to co-develop and co-commercialise small molecule inhibitors of LRRK2 for Parkinson’s (Click here to read the press release).

What is LRRK2?

Continue reading “Billion dollar bets: Denali+Biogen”

Too much LRRK2 begets too little GCase?

 

New research from multiple independent research groups proposes that one Parkinson’s associated protein (LRRK2) may be affecting the activity of another Parkinson’s associated protein (GCase).

Specifically, when LRRK2 becomes hyperactive (as is the situation in some cases of Parkinson’s), it causes is associated with a reduction in the amount of GCase activity.

In today’s post, we will discuss what LRRK2 and GCase both do, what the new research suggests, and how this news could influence efforts to treat Parkinson’s in the future.

         


Connections. Source: Philiphemme

For a long time, the Parkinson’s research community had a set of disconnected genetic risk factors – tiny errors in particular regions of DNA that were associated with an increased risk of developing Parkinson’s – but there seemed to be little in the way of common connections between them.

Known genetic associations with PD. Source: PMC

The researchers studied the biological pathways associated with these risk factors, trying to identify potential therapeutic angles as well as looking for connections between them.

The therapies are currently being clinically tested (Click here to read more about these), but the connections have taken a lot longer to find.

Recently one important connection has been identified by several research groups and it could have important implications for how Parkinson’s will be treated in the future.

What’s the connection?

Continue reading “Too much LRRK2 begets too little GCase?”

Making sense of antisense

 

Recent regulator approvals and exciting new preclinical data has refocused attention on a treatment approach for genetic conditions that has travelled a long and winding road towards clinical use.

Antisense oligonucleotides represent a method of altering protein levels at the post transcriptional level – it basically stops certain RNAs from being translated into protein.

And recently, a new clinical trial has been registered which will explore the use of this treatment approach in people with Parkinson’s.

In today’s post, we will look at what antisense oligonucleotides are, how they work, what research has been conducted in the context of Parkinson’s, and some of the limitations of this approach that still exist.

 


Source: Youtube

Spinal muscular atrophy (or SMA) is a genetic disorder that results in the degeneration of motor neurons in the spinal cord. This leads to progressive weakening and atrophy of muscules, ultimately leaving sufferers paralysed. It is caused by loss-of-function mutations in the survival motor neuron 1 (SMN1) gene.

It is a terrible condition that starts in very young children and has an incidence approaching 1:10,000 live births.

Luckily, novel therapies are being developed to deal with this condition, and in 2016, the US FDA approved a new treatment – following rather dramatic clinical trial results – called Nusinersen. This new therapy has caused a great deal of excitement as it basically halted the progression of SMA in many cases.

And a recent long term report highlights some of these very impressive results:

Title: Nusinersen in later-onset spinal muscular atrophy: Long-term results from the phase 1/2 studies.
Authors: Darras BT, Chiriboga CA, Iannaccone ST, Swoboda KJ, Montes J, Mignon L, Xia S, Bennett CF, Bishop KM, Shefner JM, Green AM, Sun P, Bhan I, Gheuens S, Schneider E, Farwell W, De Vivo DC; ISIS-396443-CS2/ISIS-396443-CS12 Study Groups.
Journal: Neurology. 2019 May 21;92(21):e2492-e2506.
PMID: 31019106                (This report is OPEN ACCESS if you would like to read it)

Most importantly, Nusinersen is having real impact on the children who are affected by this condition:

Interesting, but what exactly is Nusinersen?

It is an antisense oligonucleotide.

What are antisense oligonucleotides?

Continue reading “Making sense of antisense”

BIIB054: An immunotherapy update

Immunotherapy is an experimental treatment that is being tested in Parkinson’s in the hope that it will be able to slow down the progression of the condition.

This week the Pharmaceutical company Biogen provided an update regarding their immunotherapy program for Parkinson’s.

It involves a drug called BIIB054.

In today’s post we will look at what BIIB054 is, how it works, and review the results of Biogen’s first clinical trial with this treatment.


This week the 2018 American Academy of Neurology ANN Annual Meeting is being held in Los Angeles (California). The meeting is an opportunity each year for researchers to meet and share new discoveries. A lot of neuroscience-focused biotech companies use the meeting to release new clinical trial results.

And this year one result in particular has been rather encouraging.

At 3:30pm on 24th April, the pharmaceutical company Biogen made a presentation entitled “Randomized, Double-Blind, Placebo-Controlled, Single Ascending Dose Study of AntiAlpha-Synuclein Antibody BIIB054 in Patients with Parkinson’s Disease,” which provided some of the first insights into the companies immunotherapy program for Parkinson’s.

What is immunotherapy?

Continue reading “BIIB054: An immunotherapy update”

The road ahead: Parkinson’s research in 2018

The great ice hockey player Wayne Gretzky once said “A good hockey player plays where the puck is. A great hockey player plays where the puck is going to be” (the original quote actually came from his father, Walter). 

At the start of each year, it is a useful practise to layout what is planned for the next 12 months. This can help us better anticipate where ‘the puck’ will be, and allow us to prepare for things further ahead.

2017 was an incredible year for Parkinson’s research, and there is a lot already in place to suggest that 2018 is going to be just as good (if not better).

In this post, we will lay out what we can expect over the next 12 months with regards to the Parkinson’s-related clinical trials research of new therapies.


Charlie Munger (left) and Warren Buffett. Source: Youtube

Many readers will be familiar with the name Warren Buffett.

The charming, folksy “Oracle of Omaha” is one of the wealthiest men in the world. And he is well known for his witticisms about investing, business and life in general.

Warren Buffett. Source: Quickmeme

He regularly provides great one liners like:

“We look for three things [in good business leaders]: intelligence, energy, and integrity. If they don’t have the latter, then you should hope they don’t have the first two either. If someone doesn’t have integrity, then you want them to be dumb and lazy”

“Work for an organisation of people you admire, because it will turn you on. I always worry about people who say, ‘I’m going to do this for ten years; and if I really don’t like it very much, then I’ll do something else….’ That’s a little like saving up sex for your old age. Not a very good idea”

“Choosing your heroes is very important. Associate well, marry up and hope you find someone who doesn’t mind marrying down. It was a huge help to me”

Mr Buffett is wise and a very likeable chap.

Few people, however, are familiar with his business partner, Charlie Munger. And Charlie is my favourite of the pair.

Continue reading “The road ahead: Parkinson’s research in 2018”

Game changer for Alzheimer’s?

TOP-L-Concussion Front Page

Exciting results published this week regarding a small phase 1b clinical trial of a new treatment for Alzheimer’s disease. In this post, we shall review the findings of the study and consider what they may mean for Parkinson’s disease.


4-studyingdown

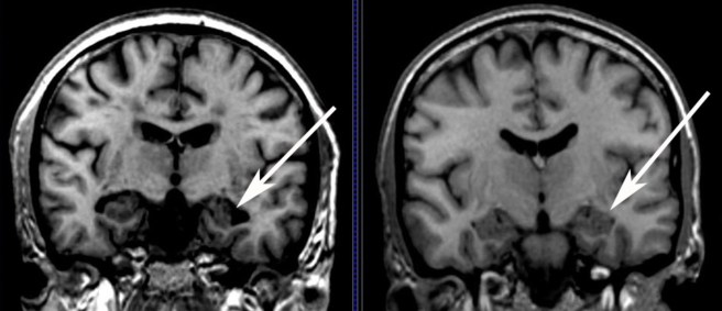
An Alzheimer’s brain scans on the left, compared to a normal brain (right). Source: MedicalExpress

Alzheimer’s disease is the most common neurodegenerative disease, accounting for 60% to 70% of all cases of dementia. It is a progressive neurodegenerative condition, like Parkinson’s disease, affecting approximately 30 million people around the world.

Inside the brain, in addition to cellular loss, Alzheimer’s is characterised by the increasing presence of two features:

  • Neurofibrillary tangles
  • Amyloid plaques

 

 

F1.large

A schematic demonstrating the difference between healthy and Alzheimer’s affected brains. Source: MmcNeuro

The tangles are aggregations of a protein called ‘Tau’ (we’ll comeback to Tau in a future post). These tangles reside within neurons initially, but as the disease progresses the tangles can be found in the space between cells – believed to be the last remains of a dying cell.

Amyloid plaques are clusters of proteins that outside the cells. A key component of the plaque is beta amyloid. Beta-amyloid is a piece of a larger protein that sits in the outer wall of nerve cells where it has certain functions. In certain circumstances, specific enzymes can cut it off and it floats away.

 

 

Amyloid-plaque_formation-big

The releasing of Beta-Amyloid. Source: Wikimedia

Beta-amyloid is a very “sticky” protein and it has been believed that free floating beta-amyloid proteins begin sticking together, gradually building up into the large amyloid plaques. And these large plaques were considered to be involved in the neurodegenerative process of Alzheimer’s disease. Thus, for a long time scientists have attempted to reduce the amount of free-floating beta-amyloid in the brain. One of the main ways they do this is with antibodies.

What are antibodies?

An antibody is the foundation of our immune system. It is a Y-shaped structure, that is used to alert the body when a foreign or unhealthy agent is present.

cq5dam.web.1200.YTE_Chapter_31

An artist’s impression of a Y-shaped antibody. Source: Medimmune

Two arms off the Y-shaped antibody have what is called ‘Antigen binding sites‘. An antigen is a molecule that is capable of inducing a response from the immune system (usually a foreign agent, but it can be a sick/dying cell).

2000px-Antibody.svg

A schematic representation of an antibody. Source: Wikipedia

There are currently billions of antibodies in your body -each with specific sets of antigen binding sites – awaiting the presence of their antigen. Antibodies are present in two forms: secreted, free floating antibodies, and membrane-bound antibodies. Secreted antibodies are produced by B-cells, which are part of the immune system. And it’s this secreted form of antibody that modern science has used to produce new medicines.

Really? How does that work?

Scientists can make antibodies in the lab that target specific proteins and then inject those antibodies into a patient’s body and trick the immune system into removing that particular protein. This can be very tricky, and one has to be absolutely sure of the design of the antibody because you do not want any ‘off-target’ effects – the immune system removing a protein that looks very similar to the one you are actually targeting.

These manufactured antibodies are used in many different areas of medicine, particularly cancer (over 40 antibody preparations have been approved by the U.S. Food and Drug Administration for use in humans against cancers). Recently, large pharmaceutical companies (like Biogen) have been attempting to use these manufactured antibodies against other conditions, like Alzheimer’s disease.

Which brings us to the study published this week:

Abeta

Title: The antibody aducanumab reduces Aβ plaques in Alzheimer’s disease.
Authors: Sevigny J, Chiao P, Bussière T, Weinreb PH, Williams L, Maier M, Dunstan R, Salloway S, Chen T, Ling Y, O’Gorman J, Qian F, Arastu M, Li M, Chollate S, Brennan MS, Quintero-Monzon O, Scannevin RH, Arnold HM, Engber T, Rhodes K, Ferrero J, Hang Y, Mikulskis A, Grimm J, Hock C, Nitsch RM, Sandrock A.
Journal: Nature. 2016 Aug 31;537(7618):50-6.
PMID: 27582220

In this study, the researcher conducted a 12-month, double-blind, placebo-controlled trial of the antibody Aducanumab. This antibody specifically binds to potentially harmful beta-amyloid aggregates (both small and large). At the very start of the trial, each participants was given a brain scan which allowed the researchers to determine the baseline level of beta-amyloid in the brains of the subjects. 

All together the study involved 165 people, randomly divided into five different groups: 4 groups received the 4 different concentrations of the drug (1, 3, 6 or 10 mg per kg) and 1 group which received a placebo treatment. Of these, 125 people completed the study which was 12 months long. Each month they received an injection of the respective treatment (remember these are manufactured antibodies, the body can’t make this particular antibody so it has to be repeated injected).

After 12 months of treatment, the subjects in the  3, 6 and 10 mg per kg groups exhibited a significant reduction in the levels of beta-amyloid protein in the brain (according to brain scan images), indicating that Aducanumab – the injected antibody – was doing it’s job. Individuals who received the highest doses of Aducanumab had the biggest reductions in beta-amyloid in the brain. Interestingly, this reduction in beta-amyloid in the brain was accompanied by a slowing of the clinical decline as measured by tests of dementia.  Individuals treated with the placebo saw neither any reduction in their brain levels of beta amyloid nor their clinical decline.

The authors considered this study strong justification for larger phase III trials. Two of them are now in progress, with completion dates expected around 2020.

So this is a good thing right?

Yes, this is a very exciting result for the Alzheimer’s community. But the results must be taken with a grain of salt. We have discussed beta-amyloid in a previous post (Click here for that post). While it has long been considered the bad boy of the Alzheimer’s world, the function of beta-amyloid remains the subject of debate. Some researchers worry about the medical removal of it from the brain, especially if it has positive functions like anti-microbial (or disease fighting) properties.

Given that the treatment is given monthly and can thus be controlled, we can sleep easy knowing that disaster won’t befall the patients receiving the antibody. And if they continue to demonstrate a slowing/halting of the disease, it would represent a MASSIVE step forward in the neurodegenerative field. I guess what I am saying is that it is too soon to say. It will be interesting, however, to see what happens as these patients are followed up over time. And the two phase 3 clinical trials currently ongoing, which involve hundreds of participants, will provide a more definitive idea of how well the treatment is working.

So what does this have to do with Parkinson’s disease?

Yeah, so let’s get back to our area of interest: Parkinson’s disease. Biogen is the pharmaceutical company that makes the Alzheimer’s antibody (Aducanumab) discussed above. Biogen is also currently conducting a phase 1 safety trial (on normal healthy adults) of an antibody that targets the Parkinson’s disease associated protein, alpha synuclein. We are currently waiting to hear the results of that trial.

Several other companies have antibody-based approaches for Parkinson’s disease (all of them targeting the protein alpha synuclein). These companies include:

There are some worries regarding this approach, however. For example, alpha synuclein is highly expressed in red blood cells, and some researchers worry about what affects the antibodies may have on their function. In addition, alpha synuclein has been suspected of having anti-viral properties – reducing viruses ability to infect a cell and replicate (click here to read more on this). Thus, removal of alpha synuclein by injecting antibodies may not necessarily be a good thing for the brain’s defense system.

Unlike beta-amyloid, however, most of alpha synuclein’s activities seem to be conducted within the walls of brain cells, where antibodies can’t touch it. Thus the hope is that the only alpha synuclein being affected by the antibody treatment is the variety that is free floating around the brain.

The results of the Alzheimer’s study are a tremendous boost to the antibody approach to treating neurodegenerative diseases and it will be very interesting to watch how this plays out for Parkinson’s disease in the near future.

Watch this space!


The banner for today’s post was sourced from TheNewsHerald